02
2021-07
胰腺癌是發生于胰腺外分泌腺的惡性腫瘤,主要是使用藥物、手術、放化療等方法治療。胰腺癌惡性程度較高,進展迅速, 但起病隱匿,早期癥狀不典型, 臨床就診時大部分患者已屬于中晚期。[1]胰腺癌患者預后極差,5年生存率不足8%。[2]約80%的胰腺癌患者伴有肝轉移[3],被稱為“癌中王”。蘋果之父喬布斯(2011年)、香港著名藝人沈殿霞(2008年)、世界著名男高音帕瓦羅蒂(2007年)均因胰腺癌過世。
近日,我司收到一例晚期胰腺癌肝轉移患者的樣本,成功為該患者完成胰腺癌肝穿組織類器官建模和藥敏檢測。醫生根據檢測結果,結合既往用藥史和患者病情,進行用藥方案調整。用藥3個月后,患者病情得到緩解,腫瘤指標下降,PET/CT結果提示:無明顯腫瘤復發或轉移征象,肝內腫瘤活性已受抑制。
案例分享
患者李某于2020年5月行“胰十二指腸根治性切除術”,術后病理明確為中分化胰腺癌;
6月復查,上腹部MRI提示考慮肝內多發轉移,行標準治療,予全身化療;
10月復查,發現肝內新發轉移灶,行肝內病灶消融術;
12月復查,增強CT提示考慮“壺腹部癌術后復發、肝內多發轉移瘤”,行經皮穿刺膽道置管引流術。
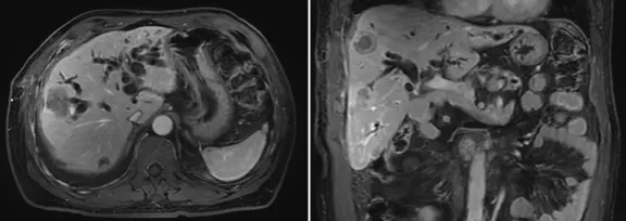
患者12月入院檢查結果
增強CT結果

壺腹部腺癌術后改變,左右肝管匯合部異常信號,不除外復發可能;考慮肝內多發轉移瘤形成
所見右側胸腔積液,右下肺片狀異常信號,建議進一步胸部檢查
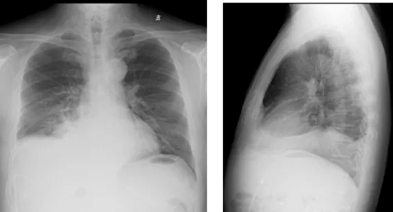
影像學檢查結果

右肺炎癥不能排除,請結合臨床。右側少量胸腔積液
右側胸腔積液細胞學檢查結果

(右側胸腔積液)細胞學檢查見少數惡性細胞,形態考慮腺癌細胞。
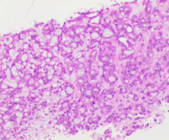
肝內病灶穿刺組織病理結果

(肝內病灶穿刺組織)肝組織內見腺癌浸潤,免疫組化結果:CK7(+),CK19(+),Ki-67(約30%+),P53(彌漫強+),CEA(部分+),TTF-1(-),結合病史及影像學檢查,首先考慮胰腺癌轉移。
肝穿組織部分進行類器官培養與藥物敏感性篩查

本例胰腺癌肝內病灶穿刺組織類器官的測定結果表明,所測7種藥物使用對類器官生長的抑制作用不同,其中阿法替尼的抑制效果最為明顯。對培養體系中細胞死活情況的結果顯示:與無藥物處理組(陰性對照)相比,阿法替尼的細胞殺傷作用最明顯,依次為吉西他濱、吉非替尼、阿帕替尼、奧沙利鉑、西妥昔單抗和PD-1。
治療方案調整情況
類器官培養與藥物敏感性篩查結果提示阿法替尼有效率最高,以其為靶向藥物治療;PD-1療效有限,可考慮停用;既往化療藥物療效顯著,可繼續使用。
調整后的藥物治療方案
靶向藥物:阿法替尼
肝動脈化療灌注方案:鹽酸吉西他濱;奧沙利鉑
2021年05月 PET/CT檢查結果
復查PET-CT提示原術區復發病灶、肝內轉移灶、右側胸膜轉移灶控制良好


治療效果評估
用藥3個月后,患者精神狀態明顯好轉,食欲改善,體重增加,腫瘤指標下降,PET/CT結果提示,無明顯腫瘤復發或轉移征象,肝內腫瘤活性已受抑制。
精科醫學已經成功培養出人類肺癌、乳腺癌、膽管癌、胃癌、結直腸癌、胰腺癌、前列腺癌、腎癌、喉鱗癌、下咽癌、腎透明細胞癌、未分化甲狀腺癌、骨肉瘤、骨巨細胞瘤、尤文肉瘤等20余種類器官,成功率達95%。
精科在腫瘤類器官領域已展開廣泛研究,申請、參與課題700余萬。精科醫學在乳腺癌類器官培養上積累了豐富的經驗,不斷創新,勇于突破,善于發現和總結,目前已在類器官鑒定、類器官建模方法、藥物敏感性檢測方法、類器官共培養等多個重要方法學上有所突破,并已建立實驗室標準。
精科類器官技術具有微量建模的優勢,已成功針對轉移性肝穿樣本,肺穿樣本等穿刺樣本;腦脊液、胸腹水液體樣本;手術組織樣本進行腫瘤類器官藥敏檢測。
參考文獻:
[1]胰腺癌診療規范(2018年版)
[2]2019年胰腺癌研究及診療新進展
[3]THOMAS H. IL-6 drives nicheformation in pancreatic cancer liver metastasis[J]. Nat Rev Gastroenterol Hepatol, 2019,16(5): 263

精科醫學
中國腫瘤類器官建模技術先行者
400-033-8903
m.littlepeopleevents.com