29
2020-04
類器官技術介紹
根據世界衛生組織公布的各個國家最新的“75歲前累積患癌風險”顯示中國癌癥發病率為20.6%[1]。也就是說,目前情況下,5個中國人里面,會有1個在75歲之前被診斷為癌癥。
廣州精科醫學檢驗所有限公司(以下簡稱為精科醫檢所)一直致力于腫瘤的伴隨診斷領域,在技術上不斷創新,推動腫瘤精準醫療。
PDO
類器官是在細胞外基質與特異性生長因子的培養基中培養生長的3D組織微小模型 [2]。人源類器官(Patient-Derived Organoids, PDO)具有穩定的表型和遺傳學特征,能夠在體外模擬或再現一系列體內的生理、病理過程,能夠在體外長期培養。單個上皮細胞可在7-10天形成類器官,類器官可以解離成單個細胞重新形成類器官。

PDO技術發展史
2009年
Hans Clevers團隊在類器官培養中取得了一項重大成就:建立了小鼠小腸隱窩的迷你腸道培養系統,確定了培養基條件,實現3D腸組織類器官模型[3]
2017年
類器官技術憑借其在人體生物研究中具有巨大的應用前景,被Nature Method雜志評為2017年生命科學領域的年度技術(Method of the Year 2017)[4]
2019年
全球頂級科學期刊《Science》發布了類器官(ORGANOIDS)特刊

目前,已有研究成功建立多癌種類器官,包括乳腺癌[5]、肝癌[6]、胰腺癌[7]、結腸癌[8]、前列腺癌[9]等。

PDO與精科醫學檢驗所
精科醫檢所已成功培育人類胃癌、喉鱗癌、骨肉瘤、骨巨細胞瘤、乳腺癌、肝癌、肺癌、結直腸癌、未分化甲狀腺癌等多種癌癥類器官。可以對手術、穿刺等組織樣本,胸水、腹水等液體樣本,腦脊液、肝穿等低腫瘤細胞含量樣本進行培養。

未分化甲狀腺癌類器官培養5天

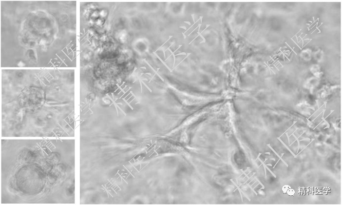
肝癌類器官培養5天:類器官在光鏡下出現不同形態

腸癌類器官培養3天后H/E細胞形態學染色結果。箭頭:放大的微球體
醫學總監

精科醫檢所
分子病理學實驗室
精科分子病理學實驗室包括組織病理學、分子免疫學、核酸分析、biobanking、生物信息分析等實驗設施,具備在組織、細胞、基因乃至基因組水平系統地研究病變細胞的病理學、細胞生物學及分子遺傳學特點的實驗條件。實驗室已經開展了基于表型的藥物敏感性測試等轉化醫學服務內容,以期為患者的個體化治療提供客觀依據。

細胞與類器官培養實驗室
細胞與組織培養是生命科學和醫學研究的重要技術平臺。精科醫檢所建立的標準化細胞與類器官培養設施的工作重點是在精科腫瘤精準用藥基因檢測的基礎上,利用獨創的類器官培養技術和具有自主知識產權的專利產品,開展了基于腫瘤類器官藥物敏感性的表型分析,使腫瘤個體化用藥更加安全、有效和精準。

高通量基因測序實驗室
精科醫檢所實驗室連續多年滿分通過室間質評,獲國家基因檢測技術應用示范中心稱號。實驗室具有多項資質,包括:臨床 PCR 擴增實驗室資質,精科醫學檢驗所營業執照國家醫療機構執業許可證、醫療器械經營許可證。2017年精科醫學檢驗所順利通過ISO9001和ISO14001的2015新版認證審核。

廣州精科醫檢所有限公司
廣州精科醫學檢驗所有限公司坐落于廣州國際生物島,是一家專業的第三方基因檢測服務機構。精科醫檢所具有獨立的細胞與組織培養能力,擁有國家認可認證的高水平基因檢測實驗室,并已與全國數百家醫院進行合作出具臨床檢驗報告。精科醫檢所是國家基因檢測技術應用示范中心,國家高新技術企業,廣東省重大遺傳性疾病基因篩查產業技術創新聯盟牽頭創辦單位。公司擁有以中國科學院院士領銜、中國轉化醫學聯盟為載體的核心技術團隊,產品涉及腫瘤早篩、遺傳性腫瘤、精準用藥、生育健康、高端體檢等眾多基因技術應用領域。
類器官技術如何推動腫瘤患者的精準治療?
請關注我們下一期介紹精科--類器官藥敏檢測技術 推動腫瘤精準醫療(二)類器官藥敏檢測與腫瘤治療
參考文獻
[1]http://gco.iarc.fr/today/home
[2]Sato T, Stange DE,Ferrante M, Vries RG, Van Es JH, Van den Brink S, Van Houdt WJ, Pronk A, VanGorp J, Siersema PD, Clevers H. Long-term expansion of epithelial organoidsfrom human colon, adenoma, adenocarcinoma, and Barrett’s epithelium. Gastroenterology. 2011;141:1762–1772.
[3]Sato T , Vries R G , Snippert H J , etal. Single Lgr5 stem cells build crypt-villus structures in vitro without amesenchymal niche[J]. Nature, 2009, 459(7244):262-265.
[4]None. Method of the Year 2017: Organoids[J].Nature Methods, 2018, 15(1):1-1.
[5]Duarte,Alexandra A, Gogola, Ewa, Sachs, Norman. BRCA-deficient mouse mammary tumororganoids to study cancer-drug resistance[J]. Nature Methods, 2017.
[6]Sandro N , Isabel F , Matter M S , et al.Organoid Models of Human Liver Cancers Derived from Tumor Needle Biopsies[J].Cell Reports, 2018, 24(5):1363-1376.
[7]Buscaglia,Jonathan M, Bucobo, Juan Carlos, Tiriac, Herve. 111 Successful Creation ofPancreatic Cancer Organoids By Means of Eus-Guided Fine-Needle Biopsy (EUS-FNB)for Personalized Cancer Treatment[J]. Gastrointestinal Endoscopy, 2017,85(5):AB50-AB51.
[8]F. Weeber et al., Proc. Natl. Acad. Sci.U.S.A. 112, 13308–13311 (2015).
[9]Gao D , Vela I , Sboner A , et al. OrganoidCultures Derived from Patients with Advanced Prostate Cancer[J]. Cell, 2014,159(1):176-187.