15
2022-09
Citation引文
肝細胞癌(HCC)是世界上最常見的原發性肝癌,也是癌癥相關死亡的第二常見原因。肝細胞肝癌是肝臟最常見的惡性腫瘤,惡性程度高,容易出現復發和轉移。多激酶抑制劑索拉非尼是晚期肝癌的唯一治療選擇。由于腫瘤的異質性,其療效因患者而異,并且由于不良反應和耐藥性而受到限制。
臨床前藥物開發的一個主要障礙是缺乏合適的細胞培養模型系統。目前常用的人類癌癥模型包括癌細胞系和患者來源的異種腫瘤移植的動物模型,盡管這兩類模型為癌癥的研究作出了重要貢獻,但仍有一些局限性。癌細胞系可能已經發生了重大的遺傳變化,無法再現原始腫瘤的遺傳異質性;而動物模型對患者腫瘤亞群的植入效率有限,且模型生成耗時、造價昂貴,甚至可能經歷動物特異性腫瘤進化而不能真實有效地模擬患者的致病過程。因而兼具較好還原原代腫瘤特征并消耗較少的建模時間的患者來源類器官成為了科研臨床的新選擇。

今天,小編給大家帶來Cell Reports 的一篇文章,了解患者來源的類器官如何代表患者“替身試藥”從而助力臨床肝癌個體化新療法開發。在該研究中,團隊選擇運用患者活檢組織構建HCC類器官進行索拉非尼藥物敏感度測試,用以研究腫瘤異質性導致的個體藥效差異。
首先,團隊利用HCC患者的穿刺活檢組織成功構建HCC類器官,并成功驗證了類器官與親代腫瘤的一致性。再使用肝內膽管癌(CCC)患者的組織構建CCC類器官,發現其與親代組織同樣具有較高的一致性。最后,團隊使用HCC類器官和CCC類器官對索拉非尼進行藥敏試驗,發現不同患者來源的類器官對索拉非尼具有不同的敏感性。該研究證明,由患者活檢組織來源的類器官模型與親代腫瘤組織高度一致,能為開發個體化精準治療提供工具。
研究結論
一
穿刺活檢組織構建患者來源HCC類器官和正常肝組織類器官
在超聲引導下從HCC患者中獲得腫瘤和正常肝組織穿刺活檢樣本,最終從8名患者中建立10個HCC類器官系進行分析。

圖1 肝癌患者來源腫瘤類器官/正常肝組織類器官建模

圖2 患者腫瘤和正常肝組織穿刺活檢組織
1
HCC類器官再現親代腫瘤組織
病理學特征
對腫瘤類器官及其活檢組織石蠟包埋切片進行組織學分析和評估,結果顯示HCC類器官維持了原發HCC的生長模式和分化級別(圖3)。

圖3 HCC類器官及其活檢組織HE染色圖
2
HCC類器官保留親代腫瘤的
體細胞基因突變
對7個HCC類器官以及親代腫瘤活檢樣本以及成對的正常肝活檢組織進行了全外顯子測序(WES)。結果顯示,類器官的體細胞突變數量與對應的腫瘤活檢的突變數量沒有顯著差異。
3
患者來源肝癌類器官注射到免疫缺陷
小鼠體內會成瘤且還原親代腫瘤特征
將所得HCC類器官皮下注射到免疫缺陷小鼠體內,發現所有成功移植的類器官(HCC類器官和CCC類器官)均產生異種移植瘤,且再現了類器官和原代腫瘤的組織學特征和腫瘤標記物表達(圖4)。相對的,對應的正常肝類器官并未產生腫瘤,證明了患者來源肝癌類器官具有小鼠體內成瘤能力。

圖4 HCC和CCC類器官的異種移植瘤HE染色圖和生物標志物IHC圖
二
成功生成CCC類器官且還原親代腫瘤特征
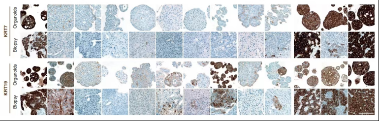
在原發性肝癌的患者中,有4例肝內膽管癌和1例罕見的肝內膽管癌-淋巴上皮瘤樣膽管癌。形態學上,CCC類器官形成類似于HCC類器官致密的球體(圖5)。CCC類器官顯示出與親代腫瘤相同的特征,并與原代腫瘤活檢中一致,表達典型膽道標志物KRT7和KRT19(圖6)。證明CCC類器官與親代腫瘤特征有較高的一致性。

圖5 不同患者成對腫瘤和正常肝組織類器官明場圖

圖6 類器官和活檢組織膽道標志物IHC圖
三
HCC類器官和CCC類器官對索拉非尼的敏感度不同
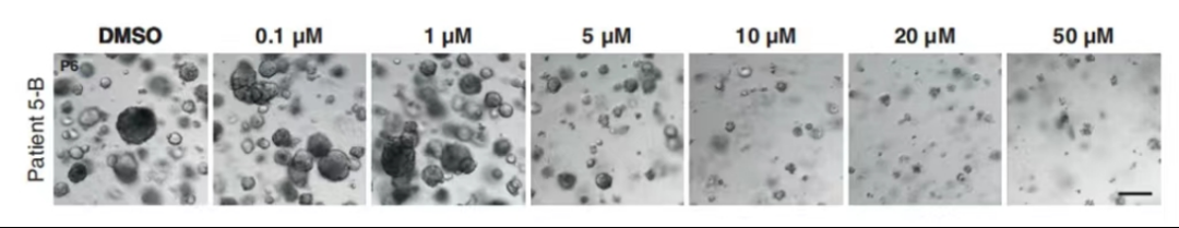
用不同濃度的索拉非尼處理HCC類器官后,采用Glo檢測細胞活力。體外實驗結果顯示,索拉非尼呈劑量依賴性抑制HCC類器官生長(圖7)。同時,測試了三種 CCC 類器官對索拉非尼的敏感度,其中一種罕見亞型CCC類器官(淋巴上皮瘤樣CCC,Patient 16))對索拉非尼敏感,其 IC50值與HCC 類器官對索拉非尼的敏感度相當。

圖7 不同濃度索拉非尼處理HCC類器官明場圖

圖8 不同濃度索拉非尼處理下細胞活性曲線圖; 不同患者來源的HCC和CCC類器官對索拉非尼的IC50值
精科類器官亮點
精科醫學作為國內類器官技術轉化先行者,對肝癌類器官的相關研究與臨床應用更是走在行業前列。我們在肝癌類器官(原位以及轉移灶)培養方面積累了豐富經驗,且擁有成熟的癌組織超微量建模技術,一份微量樣本可以同時實現類器官建模和NGS測序,能夠在少量樣本的情況下為患者提供更多檢測服務,給臨床患者帶來更大獲益。此外,我們還和多家醫院和科研機構開展科研和臨床合作。目前我們已經在類器官微量建模、類器官鑒定、藥物敏感性檢測方法、類器官共培養等多個重要技術上實現突破,并已建立相關實驗室標準。